Mosolyzóna rehabilitációja implantáció nélkül – Esettanulmány
Foghiány, elszíneződött élettelen fog, torlódás és fogszuvasodás az elülső fogaknál. Digitális tervezés, monolitikus cirkon koronák és híd, implantáció nélkül, természetes eredménnyel.
A fogászati rendelőben gyakran találkozunk olyan helyzetekkel, amikor a páciens egyetlen konkrét problémával érkezik. Letört egy fog, elszíneződött egy régi gyökérkezelt metszőfog, hiányzik egy fog az elülső fogsorban. Ezek valós, zavaró problémák, különösen akkor, ha a mosolyzónát érintik.
Szakmai szempontból azonban ilyenkor mindig felmerül a kérdés, hogy valóban elég-e azt az egyetlen fogat kezelni, amivel a páciens panaszra érkezett? Mi azt gondoljuk, hogy a mosolyt egy teljes egységnek kell tekinteni és azért dolgozunk, hogy a teljes esztétikai eredmény lehengerlő legyen. Ebben az esettanulmányban azt mutatjuk be, hogyan lehet egy látszólag egyetlen fogat érintő problémából egy olyan komplex megoldást kialakítani, amely az elülső fogakat és ezáltal a mosolyzónát is harmonikusan rendezi.
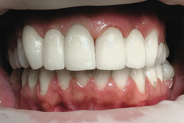
Páciensünk a kezelés előtt (1. kép) és a kezelés végén (2. kép)
Kiinduló állapot – több zavaró tényező a mosolyzónában
A páciens esetében a mosolyzónában több, egymással összefüggő eltérés volt jelen. Foghiány alakult ki az elülső fogak között, emellett egy élettelen, elszíneződött fog is rontotta az összképet. A fogak torlódtak, és fogszuvasodás is megjelent, ami alapvetően nehezítette a megfelelő tisztítást és hosszú távon egészségügyi kockázatot jelentett.
A torlódott elülső fogak nemcsak esztétikailag zavaróak, hanem megnehezítik a szájhigiéné fenntartását is, ami növeli a szuvasodás és az ínyproblémák esélyét. A fogszuvasodás különösen alattomos, hiszen sokszor fájdalommentesen alakul ki, miközben folyamatosan roncsolja a foganyagot.
Az élettelen fog elszíneződése a mosolyzónában szinte mindig érzelmi terhet jelent a páciens számára. Gyakori, hogy ilyenkor a páciens már nem mosolyog felszabadultan, beszéd közben eltakarja a száját, vagy kerüli a fényképezést.
Miért nem az implantáció lett a megoldás?
Foghiány esetén az implantátum sokszor kiváló megoldás, ebben az esetben azonban nem ez szolgálta volna legjobban a páciens érdekeit. Ha kizárólag a kitört bal felső kettes fog pótlására koncentráltunk volna, akkor valóban az implantáció lehetett volna a tökéletes megoldás.
A páciens azonban nyitott volt arra, hogy ne csak a kérdéses fog pótlása történjen meg, hanem az elülső fogsor egésze megújuljon. Fogászati rendelőnkben nem egyetlen problémát nézünk, hanem az egész mosolyzónát, a fogak formáját, színét, tengelyállását és egymáshoz való viszonyát is.
Az implantátum önmagában nem oldja meg a torlódást, a színeltéréseket vagy az aránytalanságokat. A komplex megközelítés viszont lehetőséget ad arra, hogy a mosoly természetes, egységes és hosszú távon is harmonikus legyen.
Megoldás – monolitikus cirkon koronák és híd
A pácienssel közösen meghozott döntés alapján monolitikus cirkon koronák és híd készült. A monolitikus cirkon rendkívül erős és tartós anyag, amely egy tömbből készül, így kiváló stabilitást biztosít.
Esztétikai szempontból is ideális választás a mosolyzónában, mivel megfelelő tervezéssel és színválasztással természetes hatású megjelenést ad. Lehetővé teszi, hogy az elülső fogak formája, hossza és arányai harmonikusan illeszkedjenek egymáshoz és az arc karakteréhez.
Digitális lenyomatvétel és tervezés – a precizitás alapja
A kezelés digitális lenyomatvétellel indult, 3Shape TRIOS szkenner segítségével. Ez a technológia pontos, gyors és kényelmes, így a páciens számára is jóval komfortosabb, mint a hagyományos lenyomatvétel.
A digitális adatok alapján CAD/CAM technológiával történt a tervezés, amely lehetővé tette az elülső fogak formájának, tengelyállásának és egymáshoz viszonyított arányainak precíz megtervezését. A digitális munkafolyamat különösen fontos volt ebben az esetben, hiszen nem egyetlen fog pótlása történt, hanem a mosolyzóna teljes esztétikai újragondolása.
A végeredmény – nemcsak szebb mosoly, hanem visszanyert önbizalom
A kezelés végén a mosolyzóna rendezetté vált, az elülső fogak természetes arányban, egységes színnel és formával tökéletes összhangot alkotnak.
De a legnagyobb változás nemcsak a fogakat érintette.
Az utolsó alkalom során páciensünk magabiztosan mosolygott és láthatóan felszabadult lett. A végeredmény teljesen lenyűgözte és új energiákkal töltötte fel.
Ez az az érzés, ami minden kezelésnél a legfontosabb számunkra, hogy a munka végeztével a páciens önbizalma és komfortérzete is helyreáll. Ezért mi mindig mosolyban gondolkodunk, nem csak fogakban.
Vegye fel velünk a kapcsolatot, és kezdjük el megtervezni az Ön számára tökéletes mosolyt – Dr. Meleg Erika kecskeméti rendelőjében!

